Case history 10

 

CASE HISTORY 10


This is an online e log book to discuss our patient de-identified health data shared after taking his / her / guardians signed informed consent. Here we discuss our individual patients problems through series of inputs from available global online community of experts with an aim to solve those patients clinical problem with collective current best evident based input.

This E blog also reflects my patient centered online learning portfolio and your valuable inputs on the comment box is welcome.

I have been given this case to solve in an attempt to understand the topic of " patient clinical data analysis" to develop my competency in reading and comprehending clinical data including history, clinical findings, investigations and come up with diagnosis and treatment plan


A 60 year old Male patient presented to the opd with chief complaints of  :

Abdomen distension since 2 to 3 months

Bilateral lower limb swelling since 1 month 

Dark stools since 4 days


HISTORY OF PRESENT ILLNESS 


Patient who is farmer by occupation with daily routine of waking up at 5 and completing his daily works . is apparently asymptomatic 11 years back and then he developed chest pain which is sudden onset and with profuse sweating

And he diagnosed with CAD and had CAG and PTCA and is on regular check up and also in medication

4 months later he had a neck pain and headache and then got diagnosed with hypertension and diabetes which he is on medication

3 months back patient noticed abdominal distension and also associated with shortness of breath went to a local hospital and got treated

The next day he had a vomiting which blood in it and came to our hospital for diagnosis 

On endoscopy there is notice of esophageal varices and referred to immediate banding 

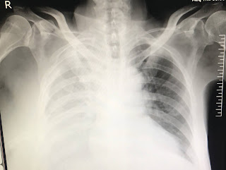
On x ray  there is presence of right sides pleural effusion which is almost the complete lung  


HISTORY OF PAST ILLNESS :

 there are no similar complaints in the past 

H/ O of diabetes

H/o of hypertension 

H/o CDA

H/O PTCA 11 years back 

No h/o of asthma

No h/o of epilepsy are seen 


FAMILY HISTORY: 

no similar complaints in the family members are seen .


PERSONAL HISTORY  : 

Appetite  : decreased 

Bowel and bladder :  normal

Diet : mixed

Addictions : smoking and drinking habits in the past and now stopped using it 


GENERAL EXAMINATION  : 

 Patient consent was taken and he is cooperative,  conscious , and well oriented to time and place 

And he is examined under well lit room. 

Pallor  - seen 

Icterus not seen

Clubbing  not  seen 

Cyanosis not seen 

Generalised lymphadenopathy not seen

Pedal edema seen .


Vitals : 

Temperature : afebrile 

Pulse rate : 89 bpm

Respiratory rate : 20 cycles /min 

BP : 130 / 80 mm of Hg 

SpO2 : 98 % at Room air .


Systemic Examination: 

CVS: S1,S2 heard no murmurs

CNS: normal

RS :

Bilateral Air Entry - present 

Bilateral crepitations heard at IAA and ISA.              

No wheeze .

PA: 

Abdomen distended 

Soft ,non tender 

Bowel sounds + 

CNS:

NAD 

Abdomen : 

Shape : obese

Tenderness : not seen

No bruit heard 

Liver and spleen are not palpable 


Provisional diagnosis - chronic liver disease with portal hypertension 

Massive pleural effusion , icd placed


INVESTIGATIONS: 

Pleural fluid - no organism 

Protien - 1.4

Sugar 131

Cytology - reactive effusion











Pleural fluid - no organism

Cytology - reactive effusion

USG - 1 altered echo texture with irregular surface of liver f/s/o chronic liver disease .


Differential diagnosis : 

1. Cholelithiasis

2. Diffuse subcutaneous edema noted in the abdominal wall 


TREATMENT: 

1. Tab lasix 40 mg bd

2. Tab aldactone 50 mg od 

3 . Tab pan 40 mg po od 

4. Fluid and salt restriction 

5. Syp potklor 10 ml po od 

6. Inj HAI s/c acc to grbs charting

7. BP/ pr temp charting every 4th hourly

8. Daily body weight and abdominal girth monitoring 

9. Grbs monitoring tid

10 . ICD care

11. Protein x - powder 2 scoops in 100 ml milk bd .

Comments

Popular posts from this blog

Case history 1

CASE HISTORY 3

Internal assessment 2